据媒体报道
两个38岁宝爸
同一天因为急性心梗被送进医院
且都发生在剧烈运动后
一个陪娃打了10分钟羽毛球
一个陪娃爬了次山
都说运动会使人健康
这到底是咋回事?
打了10分钟羽毛球
心脏就受不了了
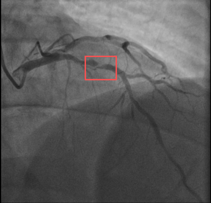
孙先生(化名)身高173cm,体重约90KG,是一位羽毛球教练。一年前,他因胸闷就诊时被查出心脏右冠中段、远端钙化斑块,以及心脏三支主要血管之一前降支中段60%狭窄。当时考虑到没有三高的危险因素(可能为早发冠心病家族史),孙先生也坚信自己可以通过运动恢复健康,因此拒绝了介入治疗,只接受药物治疗。
介入治疗前影像图
孙先生花了一年时间
体重从原来的96KG瘦到90KG
但让他没想到的是
意外还是来了
近日,他带孩子去练习羽毛球,没想到亲自上场挥杆仅10分钟左右,孙先生就因心前区剧烈绞痛被送进了急诊。
浙江医院心血管内科的医生分析,剧烈运动导致这位患者心脏的不稳定斑块破裂,进而造成前降支近段次全闭塞。所幸送医及时,孙先生的身体险情被化解。
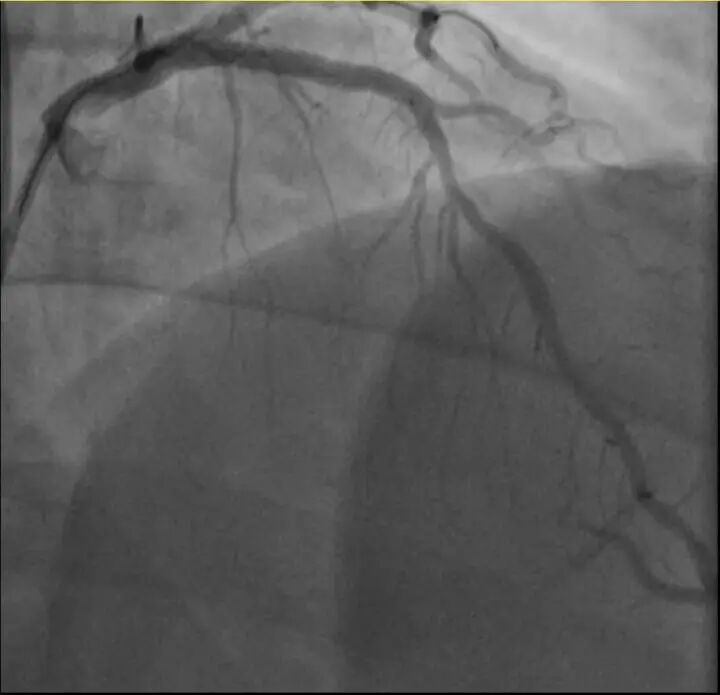
介入治疗后影像图
爬了一次山隔天就胸痛
同一天
38岁的钱先生(化名)
也有类似遭遇
钱先生的血糖一直偏高,服药后控制不佳,但年轻的他并没有太上心。周末,他和孩子爬了一座山,隔天就因突发胸骨中段压榨性疼痛被送到了急诊,最后被证实也是心梗——心脏三支主要血管之一回旋支远段次全闭塞。
医生介绍,钱先生来院时血糖12.79mmol/L(正常空腹值应该在3.9~6.1mmol/L),甘油三酯也超标。三高是导致动脉粥样硬化(包括心脏的冠状动脉)的主要危险因素,在冠状动脉粥样硬化早期,血管狭窄可能并不严重,仅当血管狭窄到一定程度时,在运动、情绪激动等情况下,心肌耗氧量增加,就可能造成心梗等急性心肌缺血事件。
所幸及时治疗,钱先生也转危为安。
高危人群
不要随意给锻炼“上强度”
长期规律、适度的运动是预防心血管疾病最有效的方式之一,但对于已有潜在心脏问题或高危因素的人群,突然、剧烈的运动却可能成为急性心肌梗死的“导火索”。
如何判断运动是否过量?运动后血压会有所上升,但不会>140/90mmHg。如若你运动后发现血压>180/110mmHg,即便是后面下降到正常区间,仍说明运动过度,要及时减少运动量。
大家应该如何预防剧烈运动
诱发的心梗呢?
1.先做心血管风险筛查
(1)通过常规体检了解自身血压、血脂、血糖水平,排查是否存在冠心病等基础疾病。
(2)运动前评估心脏耐受度:缺乏规律运动者可做运动负荷试验,判断心脏对运动的适应能力,避免盲目挑战超出身体承受范围的运动。
2.科学规划运动方案
(1)遵循“循序渐进”原则:先从低强度运动(如快走、慢跑)开始,逐步增加运动量。
(2)做好运动前后准备:运动前花5~10分钟热身;运动后不要立刻停下,通过慢走、拉伸等方式平稳降心率。
(3)规避危险运动场景:避免在高温高湿、寒冷大风环境下长时间剧烈运动;熬夜、过度疲劳、饮酒、感冒后24小时内不进行高强度运动;运动中或运动后若出现不适,立即停止并休息。
编辑 | 大熊猫
来源 | 新闻坊、浙江医院
【未经授权,严禁转载!联系电话028-86968276】
