近期,湖北的武汉大学人民医院(湖北省人民医院)呼吸与危重症医学科医护争分夺秒抢救,将一名因重症流感引发急性呼吸窘迫综合征的21岁年轻女性从死亡线上成功拉回。
11月10日上午,多日熬夜备考的武汉某大学学生小陈,因持续4日的胸痛、咳嗽及2日的胸闷气短到武汉大学人民医院门诊紧急就医。此时,她的指脉氧饱和度仅为82%,被确诊为“I型呼吸衰竭”,同时甲型流感病毒抗原检测呈阳性——病情已进入危急状态。
“患者虽然年轻但病情进展极快,必须抢在死神前打开生命通道。”呼吸与危重症医学科一病区医护团队第一时间识别出病情的凶险性,小陈被迅速收入呼吸ICU,为后续抢救赢得了黄金时间,这也成为救治成功的首个关键节点。
危机在入院当日中午14时骤然升级。小陈呼吸急促加剧,指脉氧饱和度跌至78%,心率飙升至120~150次/分,呼吸频率达30~40次/分。即便采用鼻导管联合面罩吸氧且流速调至7L/min,氧合仍无改善,常规氧疗已无法维系生命。
面对持续恶化的病情,医护团队没有丝毫迟疑,迅速启动“俯卧位通气联合无创呼吸机辅助呼吸”方案,强调根据呼吸道病原谱广覆盖的经验性抗感染治疗。这一精准处置立竿见影,小陈氧合即刻升至85%~87%,生命体征暂时稳住。
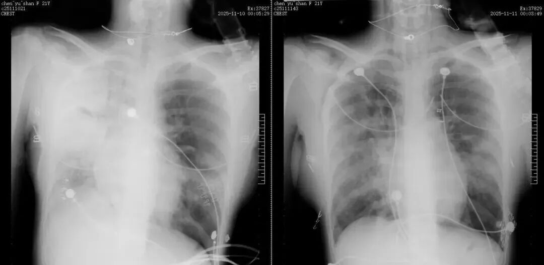
11月11日清晨,赵考昌教授和汤贵良医生查房时,发现小陈在联合呼吸支持下指脉氧饱和度已回升至98%。在评估其身体状态可耐受检查后,团队立即安排床旁支气管镜肺泡灌洗液病原菌检测,精准检出金黄色葡萄球菌、星座链球菌及甲型流感病毒H3N2。明确病因后,医护团队第一时间优化抗生素方案,开展靶向抗感染治疗。当日复查胸片显示,小陈右肺感染较前明显好转,病情迎来重要转机。
治疗前后对比:由此前的“白肺”明显好转
救治过程中,医护团队的人文关怀同样温暖人心。11月12日清晨,因担心女儿安危而彻夜守在病房外的陈母因过度劳累突然昏倒,医护人员发现后立即上前施救,测血压、查心率、给予吸氧,待其意识恢复、生命体征平稳后,细心叮嘱休息事项。“谢谢你们,不仅救了我女儿,还救了我!”陈母醒来后紧握医护人员的手哽咽道谢。
据武汉疾控11月26日发出的提醒,武汉市流感疫情目前处于中流行水平,即将进入快速上升阶段。近两个月以来,武汉市流感病毒监测阳性率持续上升,目前已接近10%,预计阳性率仍将进一步上升。当前检出病毒以甲型H3N2亚型为主,与全国流行趋势基本一致。从临床上来看,H3N2毒株临床表现与其他甲型流感(如H1N1)相似,都是发热、咳嗽、咽痛,全身的酸痛、乏力和头痛都比较明显。但H3N2毒株传染性更强、传播速度更快。
武汉大学人民医院呼吸与危重症医学科专家提醒公众,不同于普通感冒,流感的传染性强,可能导致原有基础疾病加重,并引起肺炎、心肌炎、神经系统损伤等并发症。如何判断得了流感还是普通感冒?邹进晶表示,流感症状更重、起病更急,往往是38.5℃以上的发热,除了咳嗽咽痛以外,还会有明显的全身症状,如头痛、肌肉酸痛、特别乏力等。若流感症状较轻微,只有咽痛、咳嗽、流鼻涕等,可先在家中休息,适当多饮水,清淡饮食,用一些对症药物缓解症状。一旦出现高热不退、大量浓痰、呼吸困难、精神不振等严重症状,那么一定要抓紧时间到医院就诊,以免贻误病情。
来源:极目新闻
编辑:狄海洲
责任编辑:谭燕
【未经授权,严禁转载!联系电话028-86968276】
