7月18日攀枝花市妇幼保健院传来第一对不孕症夫妻通过“试管婴儿”技术成功怀孕的好消息。
试管婴儿技术的顺利开展填补了攀西地区在生殖医学领域的空白,不仅标志着攀枝花市人类辅助生殖技术迈上新的台阶,更意味着具备福泽更多不孕不育家庭的能力,让攀枝花市及周边地区有不孕不育需求的人享受到“好孕”在家门口的便利。
市妇幼“好孕”案例
“好孕”爸妈:张女士、李先生
基本情况:不孕5+年一次试管成功受孕
主治医师:胡艳梅
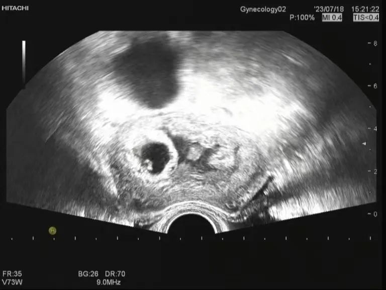
张女士夫妇的求子之路举步维艰,从结婚后开始备孕,辗转多家医院,打听到做试管婴儿需要多次往返奔波、花费庞大,让这对夫妇望而却步,2023年4月攀枝花市妇幼保健院试管婴儿技术获批运行,张女士夫妇第一时间决定在该院生殖医学中心进行试管婴儿,根据张女士的病情,在医师的悉心指导下为其制定了个体化促排方案,于2023年6月16日取卵,6月19日行胚胎移植术(ET),移植过程顺利,7月4日验血HCG值为423.69mIU/L,7月18日B超见孕囊、胎芽及心管搏动!这是攀西地区完成的首例试管婴儿成功妊娠!

从无到有、零的突破,国内顶级权威指导,攀枝花妇幼保健院为广大不孕不育患者提供优质服务、为他们带去希望和幸福的初心。
科普小链接
辅助生殖技术是帮助大量不孕症群体达成生育愿望的主要途径之一。通过辅助生殖技术,帮助不孕不育的患者通过人工的手段实现生育,重获家庭的完整和幸福。目前市妇幼保健院开展的技术是第一、二代。
第一代试管婴儿技术(IVF-ET)体外受精-胚胎移植。这就是平时最常说的试管婴儿,也是目前周期数最多、使用次数最多的技术。通过促排将女方卵子取出,同时取男方精液,在实验室环境下让精卵自然结合,不采取干预措施。适应情况:女方输卵管不通、粘连,卵泡发育和排卵异常,子宫内膜异位症;男方少、弱精子症。

第二代试管婴儿技术(ICSI)卵细胞质内单精子显微注射技术。这项技术的主要特点是,当取出的精子和卵子不能主动完成受精时,可以把单个精子放到卵细胞的胞浆内,从而使精子卵子受精,大大提高了受精环节的成功率。适应情况:男方严重的少、弱精子症,梗阻性无精症;第一代试管婴儿受精失败的患者。(攀枝花市妇幼保健院供稿)
【未经授权,严禁转载!联系电话028-86968276】
