川观新闻记者 石小宏
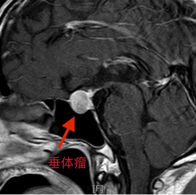
家住崇州的赵大哥最近碰上了烦心事,每天早晨一起来总感觉眼睛蒙上了一层雾,使劲揉两下才勉强觉得好点。“可能是最近工作太忙,手机看多了,没什么大问题“赵大哥误以为眼疾就没放在心上;可日子一天天过去,赵大哥的视力就不见好转,他挂眼科也没有检查出什么异常,最后辗转到成都市第五人民医院神经外科门诊才找到了“元凶”——垂体瘤。

一听说得了脑肿瘤,赵大哥的心情就更加沉闷了,“这脑肿瘤做手术会不会傻啊?会不会瘫?万一做了手术醒不来怎么办?”一个直击灵魂的问题让赵大哥更是忐忑不安。接诊赵大哥的神经外科罗霜主任耐心的解释说垂体瘤大多是一种良性肿瘤,过去切除这种垂体瘤都是需要做开颅手术的,脑部神经系统多且复杂,做这种手术风险大、创伤大,患者康复慢,还容易引发并发症。但是随着医学设备和医疗技术的迅猛发展,医生将采用神经内镜经单鼻孔切除垂体瘤,从而避免损伤正常脑组织的风险,还具有患者恢复时间快、创伤小、更安全,垂体瘤切除更彻底等优势。

这么神奇?从鼻孔就能摘除脑子里的肿瘤?
经过一系列住院检查后,赵大哥确诊为无功能性垂体大腺瘤,手术指征明确,于3月25号由刘嘉副主任医师和马栋斌主治医师共同实施了手术。手术过程中,主刀刘嘉医生发现赵大哥的肿瘤包膜很完整,在内镜下,耐心地分离肿瘤包膜和正常垂体的界限,最终完整的切除垂体瘤。手术不到2个小时就结束,出血不到20ml。

术后的赵大哥很快就下地活动了,视力也明显好转,连连称赞成都市五医院神经外科不但环境好,专家实力更强,尤其是医护人员服务态度和敬业精神,更让他打消了顾虑,稳定了情绪。
神经外科罗霜主任表示:垂体瘤虽然是良性肿瘤,但仍可能因为切除不干净,导致肿瘤再次复发。而赵大哥所做的内镜手术,采用的是目前国内领先的“假包膜”技术,内镜完美剥离出肿瘤的包膜,实现了垂体瘤的全切除,并将周围的重要神经、血管保护的非常完好。
罗霜主任提醒广大市民:视力下降太快,可能与垂体瘤有关!我们的垂体位于大脑底部,视交叉的下方,是人体神经-内分泌系统的总司令部。视力下降就是因为肿瘤生长压迫了视神经,是导致视力下降、视野受限的重要原因。随着肿瘤体积增大,向上伸展,压迫视交叉,可出现视野缺损,外上象限首先受累,渐渐缺损可扩大至双颞侧偏盲。如治疗不及时,视野缺损扩大同时可伴有视力减退,最终出现全盲。如果肿瘤偏于一侧,可致单眼偏盲或失明。如果肿瘤向后生长,可压迫脑干致昏迷、瘫痪等。
【未经授权,严禁转载!联系电话028-86968276】

医学发达,医术高超