过年了,家家户户的餐桌上都少不了一条鱼,为的是寄托“年年有余”的美好愿望。可要是吃鱼时不够小心,这份鲜美也可能带来意想不到的麻烦。
鱼刺(异物内镜)夜门诊 医院供图
每天18:30左右,杭州师范大学附属医院的鱼刺(异物内镜)夜门诊便会逐渐忙碌起来,迎来一拨接一拨捂着脖子、面色痛苦的市民。春节期间,这里更是“刺满为患”,患者以中青年为主,大多因为吃饭时说笑、打闹,一不小心就被鱼刺卡住了喉咙。
“16日我们已经接诊了10名患者,拔了9根鱼刺。”耳鼻咽喉科副主任医师解道宇介绍,“大部分鱼刺卡在扁桃体或舌根位置,用镊子取出就可以;但也有一些鱼刺‘躲’得较深,比如在会厌谷、舌根、梨状窝和食管入口等处,需要喉内镜辅助取出,卡在食管需要食管镜或胃镜取出,若鱼刺游走在咽喉、颈部组织内,则需要切开组织寻找异物。”
深藏11天的“暗刺”
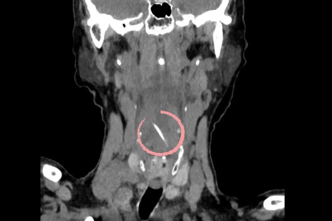
咽后壁中的鱼刺 医院供图
取出的鱼刺 医院供图
这根让李阿姨煎熬了11天的“暗刺”,仅耗时约1小时便被彻底清除,再次印证了专业处理的重要性。术后李阿姨恢复顺利,异物感与疼痛瞬间消失,不久便康复出院。
来源:
编辑:万秋悦
责任编辑:高明
【未经授权,严禁转载!联系电话028-86968276】
