文/蔚枫 图片由四川省妇幼保健院提供
省妇幼保健院天府院区正式开业半年以来,一系列“新技术”上新——既有更早发现微小病变的3.0T磁共振设备,还有减轻患者经济负担和减少损伤的3D腹腔镜。未来,还有手术机器人和高强度聚焦超声治疗“上线”,将惠及更多患者。
一起看看天府院区有哪些黑科技吧。
更早发现微小病变
3.0T磁共振让患者置身“蓝色天空”
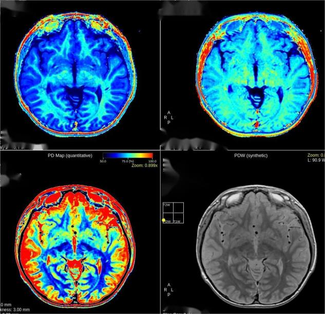
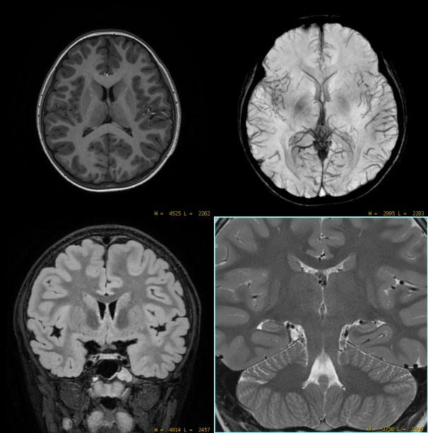
节约平均扫描时间、分辨率提高、能够更早发现微小病变……省妇幼保健院天府院区新引进的SIGNA Premier 3.0T磁共振设备升级了检查手段。
今年7月5日,3.0T磁共振设备正式投入临床及科研工作至今,多位患者从中受益。设备具备高清弥散、MAGIC(一种一站式弛豫定量技术,一次扫描获多组不同对比度图像和多种弛豫定量数据)、全脑静音血管成像、骨关节成像、四维流心血管磁共振成像(4D FlowCMR)、压缩感知等技术。
和普通磁共振相比,它的分辨率和信噪比明显提高,能够带来更高的图像质量,从而更早发现微小病变。
不仅更精准,很多患者发现,做检查的速度也变快了。据悉,和普通磁共振相比,患者需要屏气的时间大大缩短,节省时间的同时也提高检查效率,就医体验得到很好提升。医护人员也能通过多角度图谱作出更准确的判断。
患者检查也更轻松舒适。这台高尖精的3.0T磁共振检查室顶部是“蓝色天空”,让人感到宁静而开阔,患者在医生专业耐心地解释和帮助下,对疾病和检查的负性情绪明显减少,患者顺畅完成检查。同时,像毯子一样轻薄柔软的魔毯线圈,能够提升患者尤其是让孕妇等体型较胖者受检时的舒适度。

3.0T磁共振设备

3.0T磁共振设备检查成像分辨率和信噪比明显提高,可更早发现微小病变。

3.0T磁共振设备检查成像分辨率和信噪比明显提高,可更早发现微小病变。
手术室变身“电影院”
3D腹腔镜让数百名患者“快速康复”
3月22日,在省妇幼保健院天府院区的手术室里,妇科团队医护人员戴上“墨镜”完成新院区妇科开业首台妇科恶性肿瘤的3D腹腔镜分期手术。这天,52岁的患者李阿姨(化名)入院后确诊为子宫内膜癌,医院为患者制定治疗方案,实施3D腹腔镜手术。术后第一天,李阿姨已能自主下床,肠道功能也已恢复。目前,3D腹腔镜手术已在省妇幼保健院天府院区服务上百例患者。
医生佩戴“墨镜”,不是为耍酷,而是为了更安全、精准、高效地为患者完成手术。这个“墨镜”(3D腹腔镜)与平常电影院佩戴的3D眼镜效果相同,在腹腔镜手术中引入3D高清技术,其模拟双眼三维立体成像和视野高清放大效果,极大地改善腹腔镜医生对解剖深度的感知,能使手术视野更大,图像更真实、清晰,组织间隙辨别和术中定位操作更加精准,这意味着,患者术中面临的损伤和并发症也会减少,预后风险更小,减少住院时间和住院费用。
据悉,3D腹腔镜手术适用于所有的微创腹腔镜手术,主要包括卵巢囊肿剥除术、子宫肌瘤剥除术、输卵管复通术、子宫全切术等,尤其适合盆腔子宫内膜异位症手术和恶性肿瘤的全面分期手术以及盆底重建手术。
好消息将陆续传来。省妇幼保健院天府院区还将引进手术机器人和先进、精准的高强度聚焦超声治疗(HIFU)。其中,新添的HIFU能通过不开刀、不出血、不麻醉达到较好治疗效果,相比于目前晋阳院区既有的HIFU,其应用范围还将更广,有助于如子宫肌瘤、切口妊娠、乳腺包块等疾病治疗。而将引进的手术机器人也将辅助医生做微创手术,术中可灵活变换操作方向,助力精准治疗,减少患者住院时间。


【未经授权,严禁转载!联系电话028-86968276】
