儿童活泼好动,稍有不慎就可能跌倒导致骨折、传统手术过程痛苦、恢复时间长,影响孩子的生活学习。家长们别担心!有一种技术可以免除上述烦恼,本期的《文摘健康课》我们就来聊聊儿童骨折了怎么办?
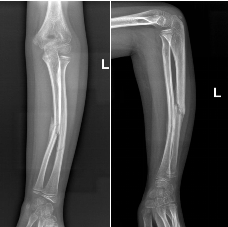
7岁的黎同学,上学时不慎摔倒导致左前臂疼痛畸形。当地医院X片提示“左侧尺桡骨干骨折”。

术前骨折断端移位明显
经手法复位治疗无效,几经辗转多家医院都表示需要切开手术治疗。龙泉驿区中医医院骨伤一科许锦涛主任带领团队详细研究病情,聚焦患者核心问题,决定为其实施微创手术——弹性髓内钉(ESIN)内固定术。
弹性髓内针技术具有创伤小、固定简便可靠、愈合快、住院时间短等特点,既固定了骨折
又不影响肢体美观,可谓一举两得。黎同学的手术过程十分顺利,骨折端对位对线良好,术后伤口仅1厘米,患者在平稳康复中。

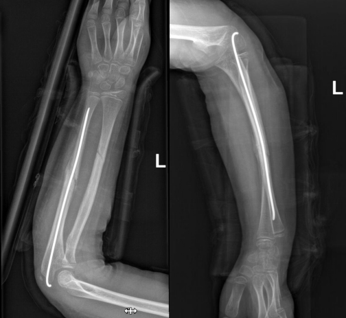
术后骨折断端移位好转,力线纠正

手术切口小
儿童骨折特点
儿童骨折很常见,文献报道,从出生到16岁,男孩有42%-64%的概率会发生骨折,而女孩则为27%-40%,比较常见的骨折为胫骨骨折、股骨干骨折、尺桡骨骨折。
由于儿童骨骼与成人存在着巨大差异,儿童骨骼发育的每个阶段都有不同特点,发生损伤时有很多儿童特有的骨折类型,因此在治疗理念、治疗方式和手术方法上都与成人有着或多或少的不同。
儿童骨折的治疗
既往治疗常常为手法整复结合夹板及石膏外固定,或者采用“切开复位钢板+螺钉内固定”进行手术。
前者常有复位不满意,复位后常出现移位风险,且固定时间长,患儿痛苦大,可能功能恢复有限。
后者创伤较大,遗留较长的手术瘀痕影响美观,还需二期取出内固定装置,患儿及家属常不愿接受。
弹性髓内钉内固定术揭秘
“弹性髓内钉技术”发源于法国,在欧洲广泛应用后,现已为全球所接受,被称为是儿童创伤骨科界的一次革命。
“弹性髓内钉”技术可在保护骺板不受损伤的前提下,微创、有效地治疗3—13岁的四肢骨折患儿。
它打破了传统手法复位、牵引复位、石膏固定或夹板固定制动时间长、容易移位、需反复调整、治疗时间长、过程痛苦等弊端。
该技术已得到世界范围内小儿骨科医生的广泛推崇,成为治疗儿童长骨骨折的首选方法。
弹性髓内钉内固定术优势
1. 创伤小、留疤小、伤口美观;
2. 愈合快,住院时间短,不影响生活学习,骨折愈合后取出内固定简单,仅需切开皮下拔出即可,节省了时间和费用;
3. 疗效好,骨折复位满意,固定简便可靠,对断端血供影响小,有利于骨痂生长;
4. 应用广,可应用于3至13岁儿童长骨骨折,其中5至10岁非肥胖者最佳。
许锦涛主任提到,多数儿童骨折可采取保守治疗取得很好的愈合效果。对于需要手术治疗的骨折,骨伤科大多以微创、小切口操作,治愈骨折的同时又减少了手术创伤和疤痕的形成。近几年,龙泉驿区中医医院骨伤科开始对儿童四肢骨折,锁骨骨折采用弹性髓内针的微创手术,获得了患者和家属的普遍认可,儿童骨折可能会影响身高发育,是否需要手术治疗,应该由专业医生判断。
【科普团队】
龙泉驿区中医医院骨伤科,是四川省省级重点中医专科,技术力量雄厚、技术精湛,现有医护人员76名,其中医生33人,护理43人,含康复治疗师3人,硕士研究生16人。科室具有明显中医特色优势,开展了中医正骨疗法,手法复位小夹板外固定、理疗、中药外敷、自制药酒溻渍等传统治疗,长期坚持运用中西医结合治疗各种骨伤科疾病,疗效显著,在区域内处于领先地位。
【未经授权,严禁转载!联系电话028-86968276】
